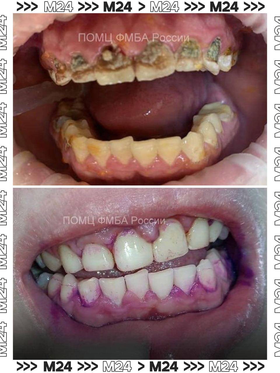
18-летний парень из Нижнего Новгорода едва не лишился зубов из-за энергетиков.
Как рассказывают врачи, несколько дней подряд он непрерывно пил «бодрящий» напиток. Поэтому кислотность слюны повысилась, а эмаль стала разрушаться.
Стоматологу пришлось удалить все нервы на повреждённых зубах. Эмаль восстановили пломбами.
ПОМЦ ФМБА России








































